Latest Training Internet Speed: Level:

26
2021 July
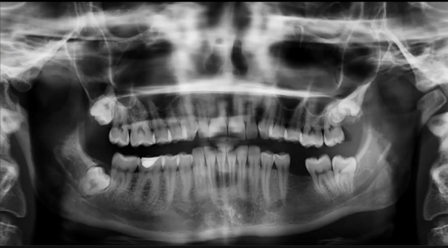
Common inflammatory dental pathologies seen on imaging
Common inflammatory dental pathologies seen on imaging
READ
12
2021 February
MRI Imaging of the Shoulder
MRI imaging of the shoulder, external impingement and rotator cuff disease by Dr. Francis Baffour, Mayo …
READ